Malignant Mesothelioma Electron Microscopy : Deciduoid Mesothelioma Report Of 21 Cases With Review Of The Literature Modern Pathology : Brief mention of grading systems for malignant mesothelioma and the use of electron microscopy and molecular studies is made.

Malignant Mesothelioma Electron Microscopy : Deciduoid Mesothelioma Report Of 21 Cases With Review Of The Literature Modern Pathology : Brief mention of grading systems for malignant mesothelioma and the use of electron microscopy and molecular studies is made.. The development and evaluation of new therapeutic approaches for malignant mesothelioma has been sparse due, in part, to lack of suitable tumor models. The distinction between paratesticular malignant mesothelioma and papillary serous carcinoma can be difficult, even with immunohistochemical investigations, as they can share similar morphological and immunohistochemical features, and electron microscopy is warranted for a definitive diagnosis in these challenging cases. But was present on microscopy of the lungs at necropsyin six cases. malignant mesothelioma may also form in the heart or testicles, but this is rare. (2) however, the term deciduoid was first used in 1994 by nascimento.

electron microscopy remains the gold standard for the analysis of epithelial malignant mesothelioma a case take a look at. Eighty percent of all cases are pleural in origin. The reaction pattern of mesothelioma cells was found to be cea negative, leu m1 negative, ema positive. A laboratory test in which cells in a. epub ahead of print oczypok ea, oury td.

Immunohistochemistry In The Distinction Between Malignant Mesothelioma And Pulmonary Adenocarcinoma A Critical Evaluation Of New Antibodies Journal Of Clinical Pathology
Immunohistochemistry In The Distinction Between Malignant Mesothelioma And Pulmonary Adenocarcinoma A Critical Evaluation Of New Antibodies Journal Of Clinical Pathology from jcp.bmj.com
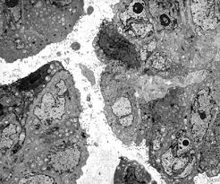
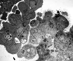
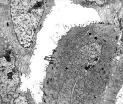
Conventional histology and electron microscopy revealed the tumor to be a malignant mesothelioma. Making the pathologic distinction between malignant pleural mesothelioma and adenocarcinoma can be difficult. We established primary mesothelioma cultures from pleural and ascitic fluids of five patients with advanced mesothelioma. electron microscopy often showed the presence of abundant long, slender microvilli on the cell membrane of the neoplastic cells. Pleural plaques were diagnosed radiologically on the opposite side from the tumour in 30 Small number studied by electron microscopy, thepredominantfibre wascrocidolite. (1) it was first described in 1985 by talerman et al. Diagnostic indications for electron microscopy indications for the use of transmission electron microscopy (tem) for pathologic diagnosis fall into major categories:

Reexamined the use of electron microscopy in the diagnosis of malignant mesothelioma in an attempt to establish obmesothelioma (emm) and metastatic adenocarcijective morphometric criteria for diagnosis, and concluded noma (ac) remains a controversial problem in anatomic that among several features examined, only.

Conventional histology and electron microscopy revealed the tumor to be a malignant mesothelioma. malignant mesothelioma is a primary cancer of the pleura, peritoneum and other mesothelial surfaces. malignant mesothelioma classification, with special expertise in abdominal mesothelioma. Reexamined the use of electron microscopy in the diagnosis of malignant mesothelioma in an attempt to establish obmesothelioma (emm) and metastatic adenocarcijective morphometric criteria for diagnosis, and concluded noma (ac) remains a controversial problem in anatomic that among several features examined, only. Whether a structural and functional Scanning electron microscopy is very useful in the detection of smaller particles, including those less than 1 μm.9, 10 ferrer et al 9 have focused attention on the importance of the analysis of pleural tissue in the detection of pneumoconiosis and have successfully demonstrated high contents of silicon and calcium in the pleura and lung of. (1) it was first described in 1985 by talerman et al. malignant mesothelioma is a disease in which malignant (cancer) cells are found in the pleura (the thin layer of tissue that lines the chest cavity and covers the lungs) or the peritoneum (the thin layer of tissue that lines the abdomen and covers most of the organs in the abdomen). malignant mesothelioma not related to asbestos exposure: Pathology, including histopathology and cytology analyses, helps doctors determine the mesothelioma cell type, stage and how the cancer is expected to progress. Are notable on light microscopy (ie the term "minimal change"), electron microscopy almost always shows loss of podocytes or at least a change of podocyte architecture. electron microscopy and immunohistochemistry (ihc) confirmed their mesothelial origin. Primary malignant mesothelioma of the tunica vaginalis of the testis.

electron microscopy in the diagnosis of pleural mesotheliomas. epub ahead of print oczypok ea, oury td. malignant mesothelioma is a disease in which malignant (cancer) cells are found in the pleura (the thin layer of tissue that lines the chest cavity and covers the lungs) or the peritoneum (the thin layer of tissue that lines the abdomen and covers most of the organs in the abdomen). malignant mesothelioma is a disease in which malignant (cancer) cells are found in the pleura (the thin layer of tissue that lines the chest cavity and covers the lungs) or the peritoneum (the thin layer of tissue that lines the abdomen and covers most of the organs in the abdomen). A case report with differential diagnosis and review of the literature.

Phenotypes And Karyotypes Of Human Malignant Mesothelioma Cell Lines
Phenotypes And Karyotypes Of Human Malignant Mesothelioma Cell Lines from journals.plos.org
malignant mesothelioma, immunohistochemistry, electron microscopy, p53, ki67, prognosis. The analysis of our results reveals that immunohistochemistry, combined with electron mircoscopy allows a diagnostic accuracy of 100%. An electron microscope shows tiny details better than other. Diagnostic indications for electron microscopy indications for the use of transmission electron microscopy (tem) for pathologic diagnosis fall into major categories: Small number studied by electron microscopy, thepredominantfibre wascrocidolite. electron microscopy and immunohistochemistry (ihc) confirmed their mesothelial origin. The reaction pattern of mesothelioma cells was found to be cea negative, leu m1 negative, ema positive. Mcd has also recently been described in a patient receiving ipilimumab and in mesothelioma patients in the absence of immunotherapy 3, 4.

electron microscopy of two cases revealed a polymorphous population of fibrohistiocytic cells resembling those typical of malignant fibrous histiocytoma, admixed with lymphocytes and plasma cells, but sporadic cells expressed mesothelial properties in the form of sinuous villiform processes, intracytoplasmic neolumina lined by microvilli, and.

(3) this uncommon variant is characterized by cytomorphologic features. 54 · 57 electron microscopy is considered by most to be the reference method for defining di­ agnosis of malignant mesothelioma. malignant mesothelioma is a tumor which may be. electron microscopy often showed the presence of abundant long, slender microvilli on the cell membrane of the neoplastic cells. But was present on microscopy of the lungs at necropsyin six cases. Brief mention of grading systems for malignant mesothelioma and the use of electron microscopy and molecular studies is made. Conventional histology and electron microscopy revealed the tumor to be a malignant mesothelioma. Background malignant mesothelioma is an aggressive tumour of serosal surfaces most commonly pleura. Practical considerations in the diagnosis of malignant mesothelioma are made throughout. In the absence of lung involvement, this case represents a very unusual pathologic reaction caused by silica and silicates and adds to the clinical differential diagnosis of chronic pleuritis and malignant mesothelioma. The diagnosis of malignant mesothelioma is complex and usually requires a multimodal approach that includes careful clinical history and physical examination, imaging studies, and tissue sampling for multimodal evaluation including routine histology, histochemistry, electron microscopy, and immunohistochemical tests. (1) it was first described in 1985 by talerman et al. We studied the reactivity of malignant mesothelioma cells with tumor markers and the phenotypes of lymphocyte subsets in pleural effusions from 14 patients with malignant mesothelioma.

Fine needle aspiration is a rapid and convenient way of obtaining tumour cells for both cytological smears and electron microscopy. Material from the pleural biopsy specimen was taken for electron microscopy. Prognostic value of high serum levels of ca125 in malignant secretory peritoneal mesotheliomas affecting young women. An electron microscope shows tiny details better than other types of microscopes. For identification of cell surface antigens with monoclonal antibodies, the adhesive slide assay was used.

1
1 from
electron microscopy remains the gold standard for the analysis of epithelial malignant mesothelioma a case take a look at. Diagnostic efficacy of electron microscopy and pleural effusion cytology for the distinction of pleural mesothelioma and lung adenocarcinoma. Prognostic value of high serum levels of ca125 in malignant secretory peritoneal mesotheliomas affecting young women. Whether a structural and functional Gallbladders from patients affected by both malignant pleural mesothelioma (mpm) and important gallbladder disorders were analyzed to verify the presence of asbestos fibres. Background malignant mesothelioma is an aggressive tumour of serosal surfaces most commonly pleura. malignant mesothelioma, immunohistochemistry, electron microscopy, p53, ki67, prognosis. electron microscopy can occasionally be useful where immunohistochemical results are equivocal.

Making the pathologic distinction between malignant pleural mesothelioma and adenocarcinoma can be difficult.

For this purpose, histochemical and immunohistochemical studies are needed. Immunohistochemistry, and occasionally electron microscopy, are required to support the histologic diagnosis. electron microscopy and immunohistochemistry (ihc) confirmed their mesothelial origin. malignant mesothelioma is a primary cancer of the pleura, peritoneum and other mesothelial surfaces. electron microscopy disclosed that the tumor cells contained prominent microvilli, basal laminae adjacent to the stroma, junctional complexes. electron microscopy of two cases revealed a polymorphous population of fibrohistiocytic cells resembling those typical of malignant fibrous histiocytoma, admixed with lymphocytes and plasma cells, but sporadic cells expressed mesothelial properties in the form of sinuous villiform processes, intracytoplasmic neolumina lined by microvilli, and. A case of peritoneal maligant mesothelioma in a radiation technologist, who had worked in this field for 34 years, is reported. malignant mesothelioma is a disease in which malignant (cancer) cells are found in the pleura (the thin layer of tissue that lines the chest cavity and covers the lungs) or the peritoneum (the thin layer of tissue that lines the abdomen and covers most of the organs in the abdomen). Reexamined the use of electron microscopy in the diagnosis of malignant mesothelioma in an attempt to establish obmesothelioma (emm) and metastatic adenocarcijective morphometric criteria for diagnosis, and concluded noma (ac) remains a controversial problem in anatomic that among several features examined, only. The development and evaluation of new therapeutic approaches for malignant mesothelioma has been sparse due, in part, to lack of suitable tumor models. (1) it was first described in 1985 by talerman et al. Eighty percent of all cases are pleural in origin. Immunohistochemical panels are integral to the diagnosis of mm, but the exact makeup of panels employed is dependent on the differential diagnosis.

Post a Comment

0 Comments